Feed
Library
Learning
Discuss
Leaderboard
Journal
Sign in
Login
Sign up
Sign in
Feed
Library
Learning
Discuss
Leaderboard
Journal
S
Sim
over 1 year ago
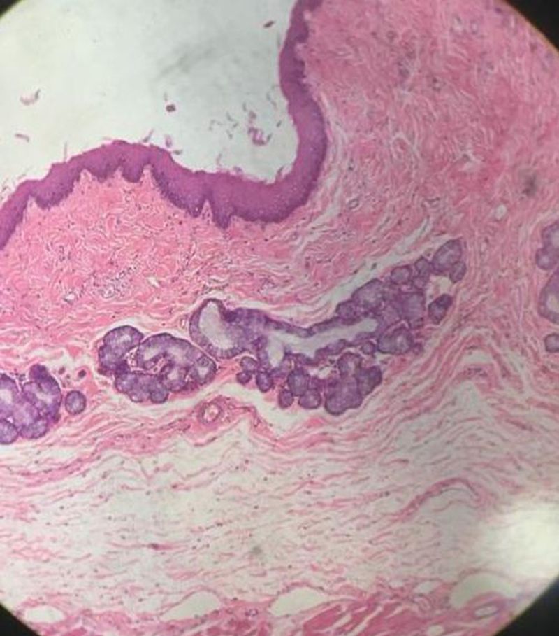
Histology of oesophagus
Anatomy
Doctor
Histology
13
0
4
Other comments
Sign in
to post comments. You don't have an account?
Sign up now!
Related posts
Dentigerous cyst.
Dentigerous cyst.
Brain Blood Supply
Anatomy of Oral Cavity
Neck Muscles
https://www.facebook.com/PrimalTRTOfficial/
FlexiLeaf
https://www.facebook.com/HumeHealthBodyPodOfficial/
Recent MCQs
Show more MCQs
Recent flashcard sets
Show more flashcards
Feed
Learn
Add
Search
Discuss