MEDizzy
MEDizzy
TAWADROUS
TAWADROUSalmost 2 years ago
Heart defects

Heart defects

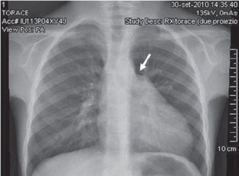
Chest X-ray showing the prominence of the left second cardiac arch, with an incision (arrow) between the first and second arch, due to the pericardial defect.

15
Other commentsSign in to post comments. You don't have an account? Sign up now!

Recent MCQs















Show more MCQs

Recent flashcard sets















Show more flashcards