
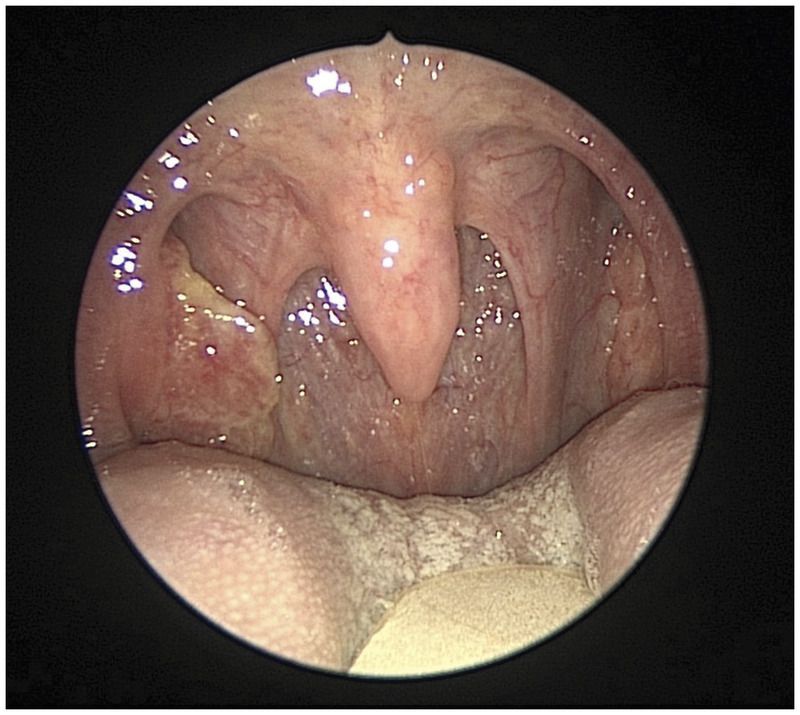
A 60-year-old man presented to the otolaryngology clinic with a firm mass on the right side of his neck that had been present for 2 months. He had no history of smoking or heavy alcohol use. The patient was otherwise asymptomatic, with no changes in his voice and no pain or difficulty with swallowing. Examination of the oropharynx revealed an asymmetrically enlarged right tonsil. A biopsy specimen of the tonsil was obtained and revealed invasive, nonkeratinizing, squamous-cell carcinoma. Strong nuclear and cytoplasmic expression for p16 was detected on immunohistochemical analysis, a finding consistent with human papillomavirus as the etiologic agent. Not every patient with primary tonsil cancer presents with a visible lesion; tumors may be hidden in the tonsil crypts. Induction chemotherapy and immunotherapy were initiated, followed by surgical resection of the cancer and neck dissection. Radiation therapy was avoided. On follow-up at 6 months, the patient was disease-free, had returned to work, and was eating a regular diet.