
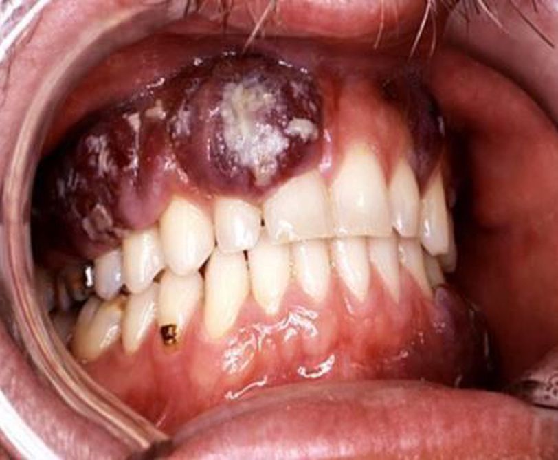
Kaposi sarcoma abbreviated as KS is a type of tumor that is developed due to an HHV8 (human herpesvirus 8) infection; with another name as Kaposi's sarcoma-associated herpes virus or KS agent.This condition has been linked as one of the defining illnesses of AIDS (acquired immunodeficiency syndrome). It is a systemic viral infection affecting the integumentary system, the mouth and the lymph nodes of an affected person, and has the tendency to affect other organs of the body such as the gastrointestinal (GI) system and the respiratory system.
It's sign & symptom, lab diagnose & treatment
Is ks specific for HIV pts or effects every who has immune defect? Is the tumor malignancey
Before HIV, you only saw this in elderly men of Mediterranean decent. It was usually on the legs and didn't spread to the organs. Nitrogen Mustard was developed as a chemotherapy agent as a result of mustard gas being dumped in an Italian harbor during the war and the Kaposi's lesions on the legs of older dock workers went away after exposure.