
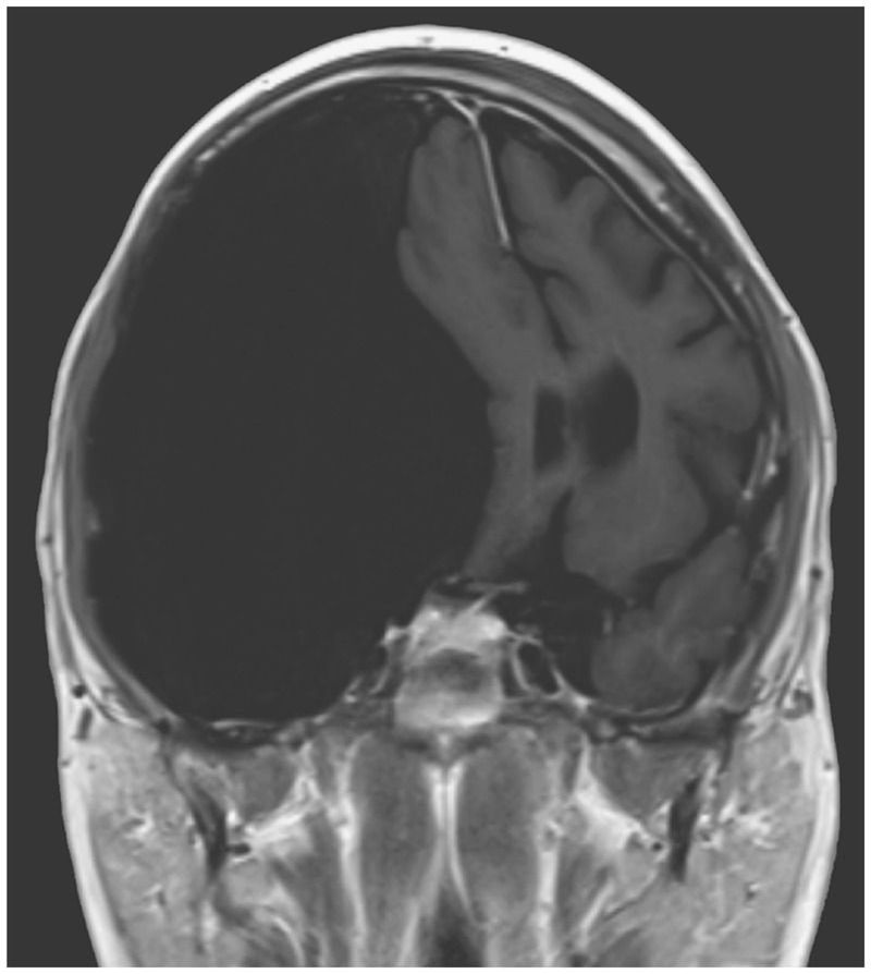
A 27-year-old man presented to the emergency department after a first seizure. He reported that during the previous 3 years, he had had frequent headaches and falls. Magnetic resonance imaging of the brain revealed an arachnoid cyst, measuring 12.3 cm by 16.5 cm by 7.9 cm, with mass effect on the right cerebral hemisphere; the cyst was causing displacement of the temporal lobe superiorly and posteriorly and a shift of midline structures. Arachnoid cysts are congenital malformations and are filled with cerebrospinal fluid, and they can be incidental findings on imaging. When large, as in this patient, they can cause a mass effect. A craniotomy for fenestration of the arachnoid cyst was performed; subsequently, a right frontal cyst-peritoneal shunt was placed because of persistently elevated intracranial pressure. Repeat imaging after these interventions revealed no substantial change in the size of the cyst. The patient continues to have daily headaches, and antiepileptic therapy has been prescribed to prevent additional seizures.