Feed
Library
Learning
Discuss
Leaderboard
Journal
Sign in
Login
Sign up
Sign in
Feed
Library
Learning
Discuss
Leaderboard
Journal
Dr.Vijay Kumar Sharma
over 6 years ago
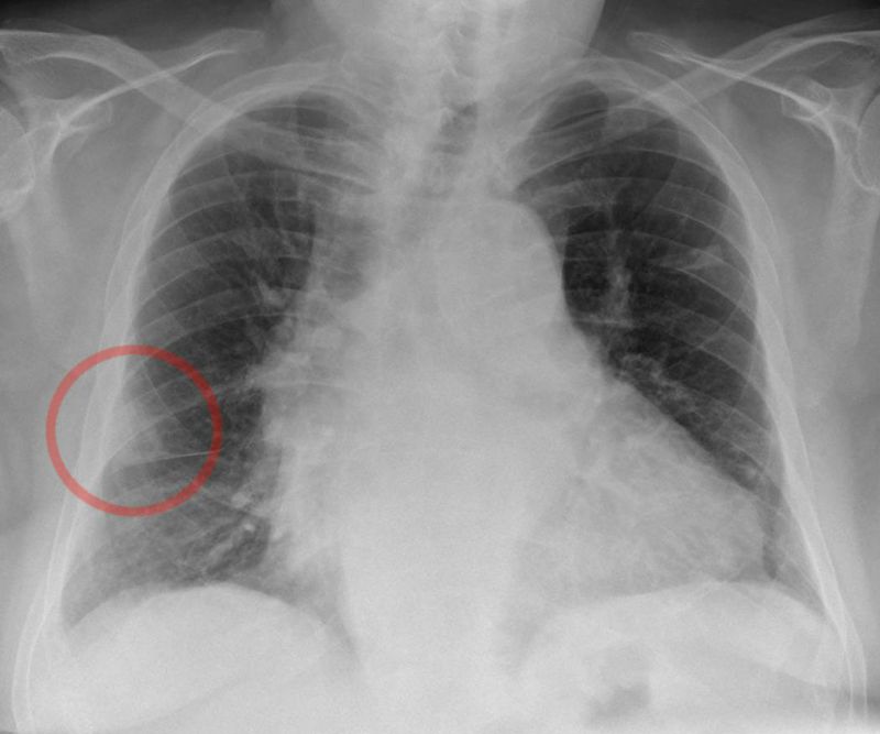
Pulmonary embolism
Medicine
Medstudent
Mbbs
Medicalstudent
Pulmonology
show 5 more
558
1
2
Top rated comment
Dr.ASKY
over 5 years ago
Hampton's Hump
0
Reply
Other comments
Sign in
to post comments. You don't have an account?
Sign up now!
Related posts
Doctor Explains: How to PURIFY Smokers Lungs!
Bronchitis
Preparation for USMLE
Effects of sugar on teeth
Neurofibromatosis
Pulmonary Embolism
Women’s Reproductive Health & Daily Wellness
Gelatine Sculpt | Official Website
Which is reference better for biochemistry for first year
BurnSlim Official | Support Your Weight Management Journey
Recent MCQs
Show more MCQs
Recent flashcard sets
Show more flashcards
Feed
Learn
Add
Search
Discuss