Feed
Library
Learning
Discuss
Leaderboard
Journal
Sign in
Login
Sign up
Sign in
Feed
Library
Learning
Discuss
Leaderboard
Journal
Dr Vijay Sharma
over 6 years ago
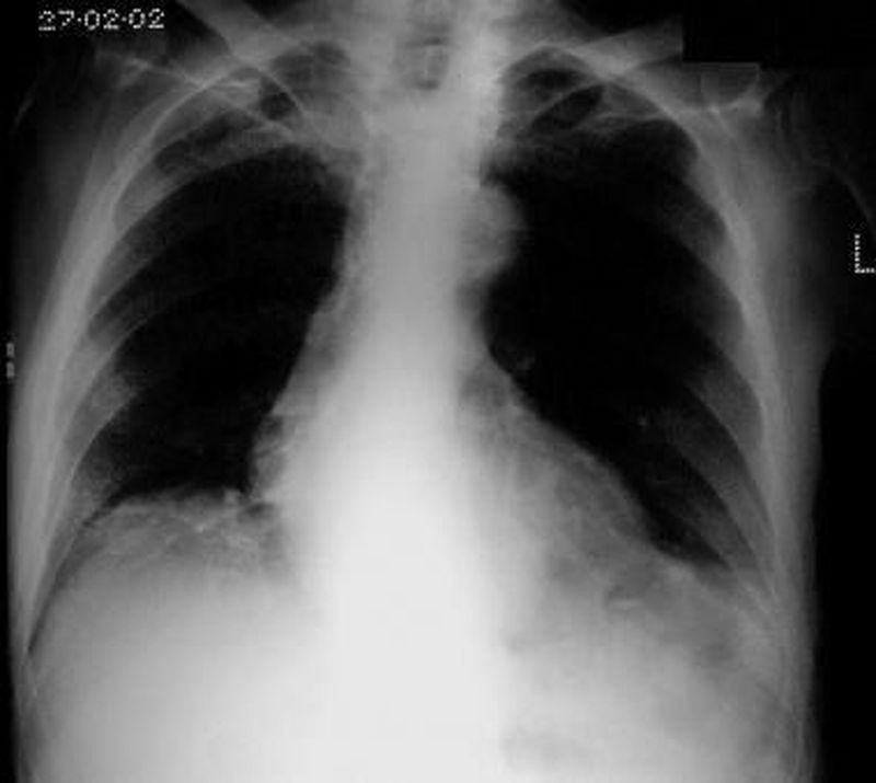
What is your diagnosis??????
HB 11.2 RBC 4.02 WBC. 3800 92 06 02 02 Plt 1.20
Medicine
Medstudent
Mbbs
Surgeon
Medicalstudent
show 6 more
30
2
5
Other comments
Sign in
to post comments. You don't have an account?
Sign up now!
Zotax97
over 6 years ago
Mediastinal adenopathy?
0
Reply
AK
Aerika Kaushal
over 6 years ago
Cardiomegaly, ascitis?
0
Reply
Related posts
Doctor Explains: How to PURIFY Smokers Lungs!
Bronchitis
Preparation for USMLE
Effects of sugar on teeth
Neurofibromatosis
Pulmonary Embolism
Women’s Reproductive Health & Daily Wellness
Gelatine Sculpt | Official Website
Which is reference better for biochemistry for first year
BurnSlim Official | Support Your Weight Management Journey
Recent MCQs
Show more MCQs
Recent flashcard sets
Show more flashcards
Feed
Learn
Add
Search
Discuss