Feed
Library
Learning
Discuss
Leaderboard
Journal
Sign in
Login
Sign up
Sign in
Feed
Library
Learning
Discuss
Leaderboard
Journal
Dr Vijay Sharma
almost 2 years ago
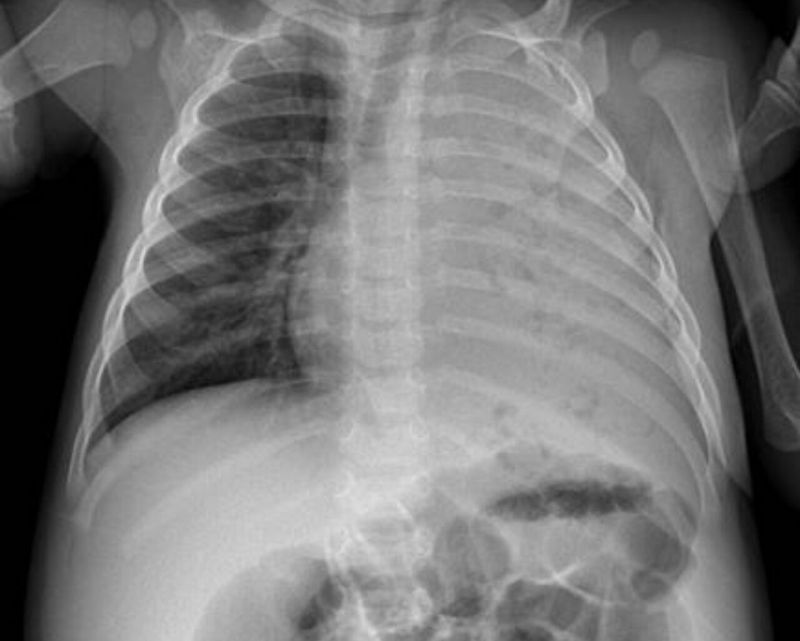
Cavitating pneumonia The chest xray shows complete opacification of the left hemithorax with numerous small lucencies throughout. Findings consistent with cavitating bacterial pneumonia
Medicine
Medical
Anatomy
Mbbs
Medicalstudent
show 4 more
34
0
14
Other comments
Sign in
to post comments. You don't have an account?
Sign up now!
Related posts
Preparation for USMLE
Cellulitis, gangrene
Chest X-Rays
Suturing
Acne
Neurofibromatosis
Brain Blood Supply
Anatomy of Oral Cavity
Neck Muscles
Recent MCQs
Show more MCQs
Recent flashcard sets
Show more flashcards
Feed
Learn
Add
Search
Discuss