
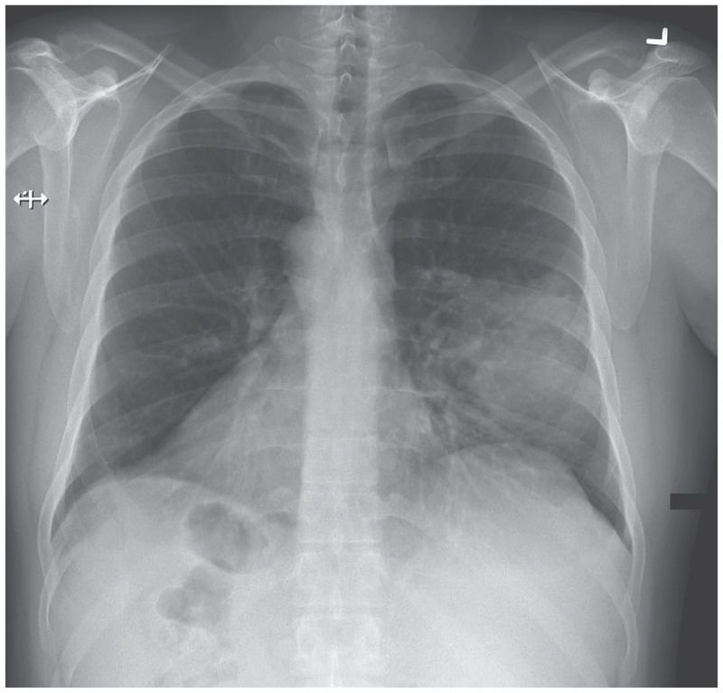
A 34-year-old man presented to the emergency department with a 5-day history of fever, cough, and dyspnea. He had received a diagnosis of situs inversus when he was 2 years of age, after a chest radiograph had been obtained in order to evaluate a cough. Physical examination was notable for heart sounds in the right side of his chest and for crackles in the middle field of the left lung. Radiography of the chest revealed a cardiac apex, aortic arch, and gastric bubble in the right side of the body and a lobar infiltrate in the left lung. A left-middle-lobe pneumonia was diagnosed. The patient reported that he had had chronic cough and recurrent sinusitis since childhood, and he also reported infertility — conditions that suggest a diagnosis of Kartagener’s syndrome, which is characterized by situs inversus, recurrent sinusitis, and bronchiectasis (which was not seen on his chest radiograph). This syndrome is a form of primary ciliary dyskinesia, an autosomal recessive condition that is caused by mutations in genes encoding ciliary components, resulting in abnormal motility of sperm-cell flagella and of cilia lining the respiratory tract and fallopian tubes. Primary ciliary dyskinesia also affects organ lateralization during embryogenesis, resulting in situs inversus in approximately half the cases. The patient was treated with moxifloxacin, and his pneumonia resolved completely. He received pneumococcal and influenza vaccines and was referred to the pulmonology service for follow-up. At last follow-up, 7 months after the initial presentation, the patient was doing well.