Feed
Library
Learning
Discuss
Leaderboard
Journal
Sign in
Login
Sign up
Sign in
Feed
Library
Learning
Discuss
Leaderboard
Journal
Surgilicious
about 8 years ago
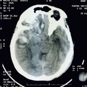
Brain contusion
Medstudent
Medicalstudent
Medicalstudents
Medicalnerd
2
0
2
Other comments
Sign in
to post comments. You don't have an account?
Sign up now!
Related posts
πΌπ’ππππππππππ πππ πΓ©ππππππππ
7th European Congress on Infectious Diseases (CPD Accredited)
β
https://docs.google.com/forms/d/e/1FAIpQLSdRDlVMbi7ARdqbTNKZWM3BrqaHFUhK8HwVv9pEBXwyC1G5tQ/viewform
Phineas Gage: A Case Study in Brain Injury and Personality Change
β
A 70-year-old man presents with difficulty walking, particularly when turning, and a sensation of his feet being "stuck" to the floor. His gait is characterized by hesitation and freezing when initiating steps. Which of the following is most likely to be observed in this patient? A. Spasticity B. Foot drop C.Freezing of gait D. Romberg sign
Best Probiotics For Womens 2025: Are They More Effective?
Effects of sugar on teeth
Which is reference better for biochemistry for first year
Recent MCQs
β
β
β
β
β
β
β
β
β
β
Show more MCQs
Recent flashcard sets
β
β
β
β
β
β
β
β
β
β
Show more flashcards
Feed
Learn
Add
Search
Discuss