MEDizzy
MEDizzy
Sharif
Sharifover 6 years ago
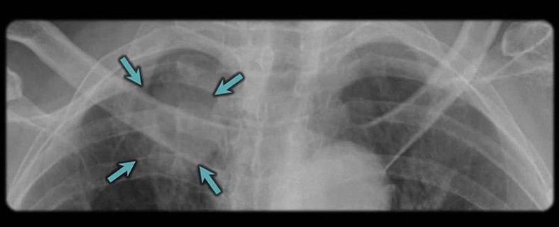
RIGHT APICAL LUNG MASS

RIGHT APICAL LUNG MASS

heres the answer to my previous post; Right Apical Lung Mass. Remember to compare carefully both left and right side πŸ‘πŸ»

554
Top rated comment
over 6 years ago

Show full xray

over 6 years ago

Look at my previous postπŸ‘πŸ»

Other commentsSign in to post comments. You don't have an account? Sign up now!
almost 5 years ago

I had the same x_ray on my radiology practical examπŸ“šπŸ‘€

Recent MCQs

β€Œ
β€Œ

β€Œ
β€Œ

β€Œ
β€Œ

β€Œ
β€Œ

β€Œ
β€Œ
Show more MCQs

Recent flashcard sets

β€Œ
β€Œ

β€Œ
β€Œ

β€Œ
β€Œ

β€Œ
β€Œ

β€Œ
β€Œ
Show more flashcards