
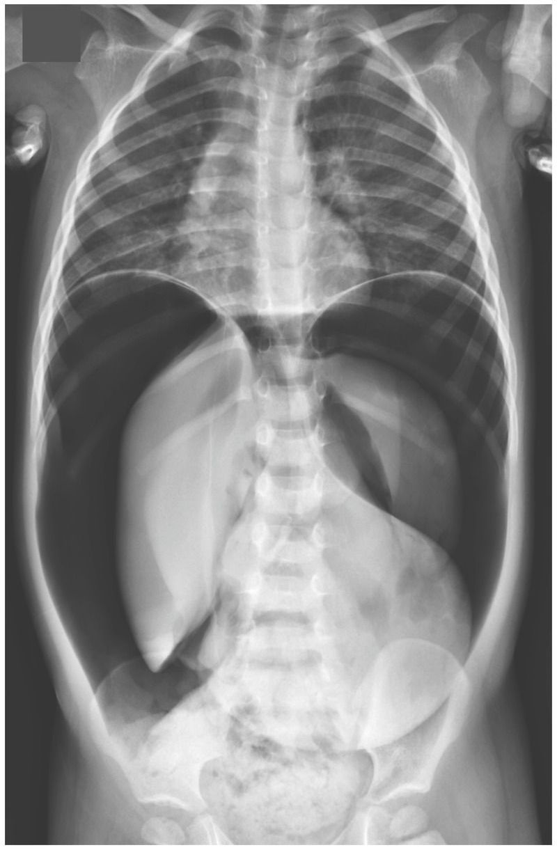
A two-and-a-half-year-old boy was brought to the emergency department after he had a seizure during a febrile upper respiratory illness. An adult who witnessed the seizure was concerned that the boy had stopped breathing and initiated chest compressions and rescue breathing. The boy regained consciousness after approximately 1 minute. On physical examination, he was awake and interactive, and a neurologic examination showed no deficits. He appeared uncomfortable, and his abdomen was distended, tympanitic, and tender. Radiography of the abdomen showed pneumoperitoneum. No rib fractures were noted. Exploratory laparoscopy revealed a perforation on the posterior wall of the stomach, without intraperitoneal fluid or other small or large bowel abnormalities. The gastric rupture was thought to have been caused by barotrauma from acute gastric distention during the resuscitation attempt. The perforation was repaired surgically. The patient remained in the hospital for 3 days, and no additional gastrointestinal issues or seizures were observed. He recovered uneventfully from surgery and the upper respiratory illness. At a follow-up visit 6 months later, he was growing and developing well.
You always post nice cases.. thanks for sharing βΊοΈπ