MEDizzy
MEDizzy
Medicaltalks
Medicaltalks 6 months ago
MRI
#NSFWSensitive content 18+
This material contains content which some users might find distrubing

MRI

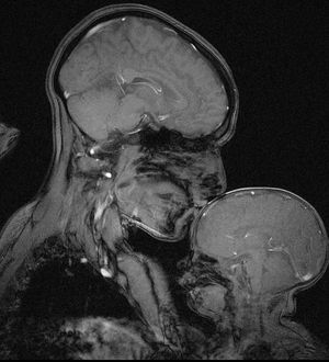
MRI of a mother tenderly kissing her 2-month-old child.Indeed, MRI detects changes in our bodies that can save our lives, but it also captures pure love.

22
Other commentsSign in to post comments. You don't have an account? Sign up now!

Recent MCQs















Show more MCQs

Recent flashcard sets















Show more flashcards