
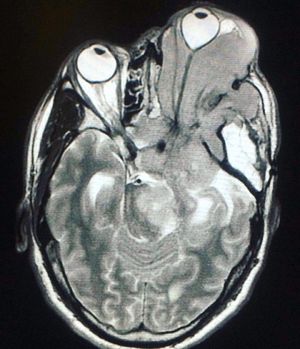
This patient was admitted to the hospital with the main complaint of double vision (diplopia). An MRI was done and demonstrated a mass, seen on the image above, diagnosed as an extracranial meningioma. Extracranial or extradural meningiomas are rare location-specific type of meningiomas that arise outside the dural covering of the brain and spinal cord, the majority being a secondary location of a primary intracranial tumour. They most often occurring in the head and neck region, specifically in the sinonasal tract, temporal bone and ear, and in the scalp.Symptoms vary according to the region where the mass appears (that explains the double vision in this patient). Prognosis of this tumour is generally excellent. Surgical excision is the treatment of choice, with no need for further treatment; nevertheless, differential diagnosis must consider other more common tumours of the head and neck and be based on histopathologic examination.