
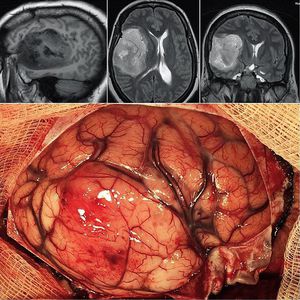
Neurosurgery dose of the day! Here's a glioblastoma multiforme (grade IV astrocytoma) from the right temporal lobe in a 56 years old female patient. This kind of tumor is the most common and most aggressive malignant brain tumor, it arises from astrocytes—the star-shaped cells that make up the “glue-like,” or supportive tissue of the brain and are highly malignant (cancerous) because the cells reproduce quickly and they are supported by a large network of blood vessels. The top images from the left shows T1 sagittal, T2 axial, and T2 coronal weighted MRI. The patient presented with progressive headache, left hemiparesis (remember right hemisphere has a control over the left body), and hyposthesia (reduce sense of touch). You may also notice the difference in the color and vessels from the healthy brain. Treatment typically involves chemotherapy, radiation and surgery. Credit : @rpaglioli
what is the most common cause of this tumor?