
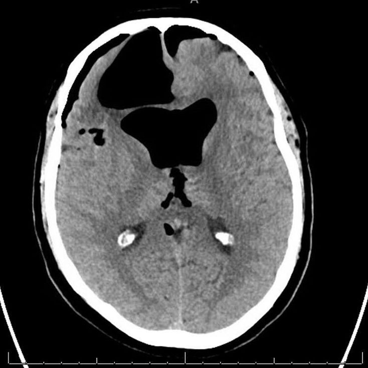
This set of photos was discovered in a patient with altered mental status and a recent sinus infection. CT scan of the brain demonstrated a tension pneumocephalus, which is air trapped in the subdural space of the brain, causing mass effect over the underlying brain parenchyma. This is not a common complication with a sinus infection, and is usually associated with disruption of the skull: after head and facial trauma, tumors of the skull base, after neurosurgery or otorhinolaryngology, and rarely, spontaneously. This patient did improve with just antibiotics and supportive care although in many situations this is a neurosurgical emergency requiring surgical decompression.