
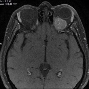
The primary melanoma in this patient was located on the left malleolus of the left ankle which was already resected when the team first met the patient. Melanoma is a type of skin cancer, the primary cause of melanoma is ultraviolet light (UV) exposure in those with low levels of skin pigment. Occurs when skin cells that make the pigment (coloring) called melanin grow out of control and form a tumor. The first sign of melanoma is a change in the size, shape, color, or feel of a mole, and you've probably heard of the ABCDE when it come to diagnosing and classifying melanomas (Asymmetry, Borders, Color, Diameter and Evolution). Although melanoma is a skin cancer, primary malignant extra-cutaneous melanoma (a melanoma that doesn't start on skin) do occur but are very rare, the majority of cases happen when a cutaneous melanoma spreads (metastasizes) throughout the body to its favorite locations such as bone, lung, or just behind the orbit like in this patient. Stay tuned for the surgical resection of the melanoma in this patient on the next post! Case sent by @rpaglioli