
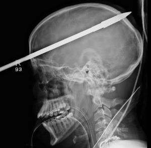
These X-rays show a miracle of a boy who survived 91cm harpoon fired accidentally by his friend. The spear entered the 16-year-old’s head just above his right eye, penetrated through his brain, before coming out the back of his skull. Miraculously, the spear missed all the vital blood vessels in the brain so non were damaged and he recovered the from incident!