
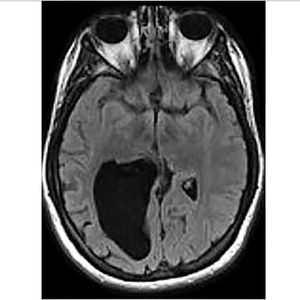
Cole Cohen struggled with math, keeping time, getting lost, couldn't judge how far away a car was when she crossed the road, and had a hard time with all kinds of things. Her parents took her to doctor after doctor, and there were all kinds of tests and experiments with medication, but no real diagnosis. She was told she had "learning difficulties" and was put on medication for Attention Deficit Disorder (ADD). Eventually, at the age of 26, after doing an MRI (the image above) she found out she had a large black mass on an image of her brain, a hole in her brain the size of a lemon! The hole was filled with brain and spinal fluid (cerebrospinal fluid), leading to problems with her parietal lobe - which controls sense of space, understanding numbers, sensory information and navigation. "Just because I have a hole in my brain doesn't mean I have a hole in my mind" She says. "Or does it?" She has written a book which documents her journey - Head Case: My Brain and Other Wonders. Today, she's undergoing a type of brain training to strengthen her thinking skills.