
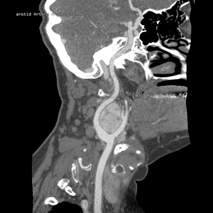
This curved reformat of a CT angiogram shows an arterial-phase enhancing lesion located between the internal and external carotid arteries. This is a typical location and appearance of a carotid body tumour (also known as carotid body paraganglioma). It is a highly vascular glomus tumour that arises from the paraganglion cells of the carotid body. Carotid body tumours are the most common type of paraganglioma of the head & neck, with the most common location being the carotid bifurcation. Malignant features may be seen in 6% of head & neck paragangliomas. Surgical excision is the treatment of choice. The larger the tumour the higher the risk of operative complications, which may require radiotherapy.