
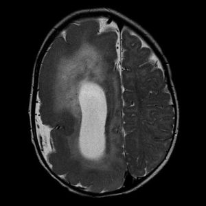
One-half of the brain abnormally bigger than the other half - that's a super rare cortical developmental disorder called hemimegalencephalgy! Notice this MRI of the brain which demonstrates the right cerebral hemisphere to be markedly enlarged. The grey matter is disorganized and thickened, consistent with migration arrest. The right lateral ventricle demonstrates an abnormal morphology and is also markedly enlarged. There is diffuse T2 hyperintensity throughout the white matter of the right hemisphere. The right cranial vault is also expanded.Additionally the right cerebellar hemisphere is also enlarged with abnormal cortical formation and the midline is shifted to the left. The left hemisphere is essentially normal in appearance.As a consequence of this size and structural differences, the enlarged brain tissue causes frequent seizures, often associated with cognitive or behavioral disabilities. The affected side can be surgically removed (anatomic hemispherectomy) or disconnected from the other brain structures (functional hemispherectomy). In such case, the remaining side of the brain may gradually take over the functions normally performed by the affected side.