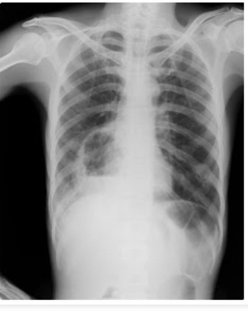
45 year old male with history of high grade fever and foul smelling expectorations .
Findings on the chest radiograph?