Feed
Library
Learning
Discuss
Leaderboard
Journal
Sign in
Login
Sign up
Sign in
Feed
Library
Learning
Discuss
Leaderboard
Journal
Shahyawer
almost 8 years ago
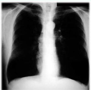
Dx
Medicine
Learning Materials
Usmle
4
3
0
Top rated comment
SM
Shah Muneeb
almost 8 years ago
Is it emphysema
1
Reply
Other comments
Sign in
to post comments. You don't have an account?
Sign up now!
Dr.ASKY
almost 8 years ago
Emphysema
0
Reply
SM
Shah Muneeb
almost 8 years ago
Plz sir tell the right answer
0
Reply
Related posts
Preparation for USMLE
Glasgow Coma Scale- An Example
Classification of Periodontal Pocket
Importance of USMLE
Hyperparathyroidism
Neurofibromatosis
Acquired immuno deficiency syndrome
Bird Beak Sign
USMLE-2 CK
Symptoms of dengue
Recent MCQs
Show more MCQs
Recent flashcard sets
Show more flashcards
Feed
Learn
Add
Search
Discuss