MEDizzy
MEDizzy
Top rated comment
almost 8 years ago

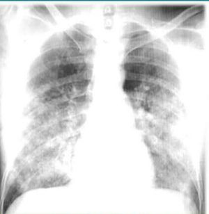
Sir it is pulmonary edema

almost 8 years ago

Ok

Other commentsSign in to post comments. You don't have an account? Sign up now!
almost 8 years ago

Hypersenstivity pneumonitis

almost 8 years ago

???

almost 8 years ago

Aspergillosis

almost 8 years ago

Asbestosis

almost 8 years ago

History would make it specific

almost 8 years ago

No sir

almost 8 years ago

Looks like pulmonary edema to me

Recent MCQs















Show more MCQs

Recent flashcard sets















Show more flashcards