Feed
Library
Learning
Discuss
Leaderboard
Journal
Sign in
Login
Sign up
Sign in
Feed
Library
Learning
Discuss
Leaderboard
Journal
Dr. Sunil
over 6 years ago
Radiology
Radiology
Xray
Pulmonology
7
2
2
Top rated comment
V
Vani
over 6 years ago
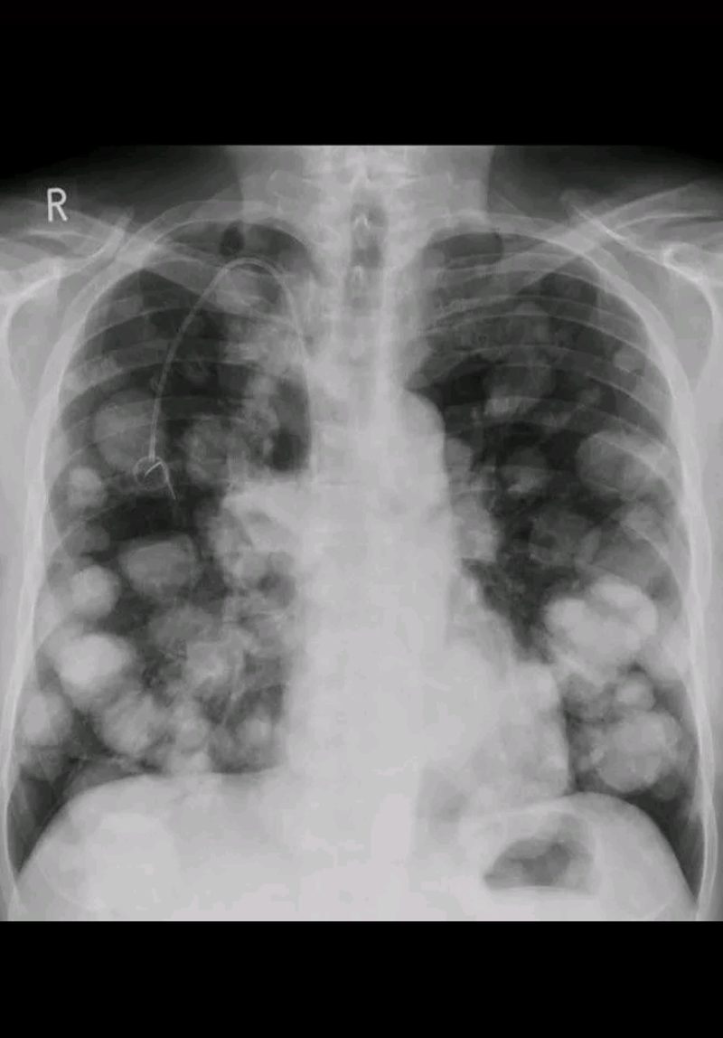
Cannon ball - metastasis
2
Reply
Other comments
Sign in
to post comments. You don't have an account?
Sign up now!
Divya Sharma Gollapudi
over 6 years ago
Emphysema due to bullous formation in the left lung
1
Reply
Related posts
Basic Brainstem Radiology
Spine Radiology I
Spine Radiology II
open pneumothorax
closed pneumothorax
Tension pneumothorax
Ace Your Respiratory Examination OSCE - With This Clinical Skills Master Class - Dr Gill
Doctor Explains: How to PURIFY Smokers Lungs!
Bronchitis
Chest X-Rays
Recent MCQs
Show more MCQs
Recent flashcard sets
Show more flashcards
Feed
Learn
Add
Search
Discuss