

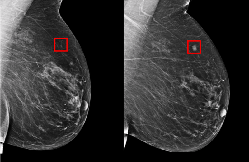
MIT’s Computer Science and Artificial Intelligence Lab has developed a new deep learning-based AI prediction model that can anticipate the development of breast cancer up to five years in advance. Researchers working on the product also recognized that other similar projects have often had... Read full article...
Source: https://techcrunch.com/2019/06/26/mit-ai-tool-can-predict-breast-cancer-up-to-5-years-early-works-equally-well-for-white-and-black-patients/?tpcc=ECFB2019&fbclid=IwAR3BgEVg8aN3R9xJKYJuYS5jaDiT1AJQLgm47xCsvsJXObvkIhkZqe6rr4w