
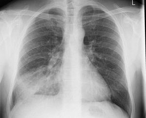
Right costophrenic angle is clear.. no fluid so not pleural effusion...Shadow indicating pnumonitis....associated rib fracture...oblique view to rule out fracture rib..
Pleural effusion bcz of haziness and obliteration of demarcation line(on rt side)