MEDizzy
MEDizzy
Muhammed Thasleem k.c
Muhammed Thasleem k.c over 6 years ago
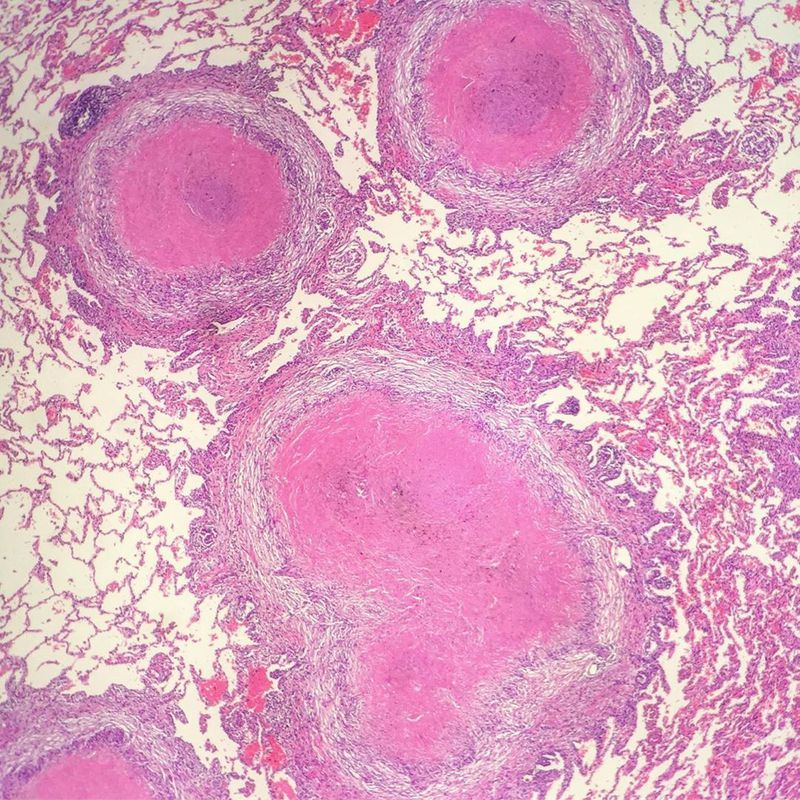
coal worker's pneumoconiosis

coal worker's pneumoconiosis

microscopy shows nodular pulmonary lesions with central necrosis surrounded by collagen ,fibroblasts and macrophages (similar to rheumatoid nodules)

12
Other commentsSign in to post comments. You don't have an account? Sign up now!

Recent MCQs















Show more MCQs

Recent flashcard sets















Show more flashcards