Feed
Library
Learning
Discuss
Leaderboard
Journal
Sign in
Login
Sign up
Sign in
Feed
Library
Learning
Discuss
Leaderboard
Journal
Medvision
over 6 years ago
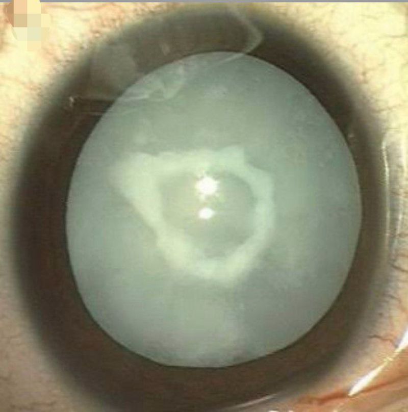
Diagnosis?Condition in which this type of cataract is seen?
Biochemistry
Metabolism
Cataract
Defect
Enzyme
show 2 more
11
2
5
Top rated comment
Leo Zhao
over 6 years ago
cataract?
0
Reply
Medvision
over 6 years ago
Oil drop cataract seen in galactosemia
0
Other comments
Sign in
to post comments. You don't have an account?
Sign up now!
Related posts
Glycolysis
Oxidative phosphorylation
Chylomicrons metabolism
Conversion of AcetylCoA Into Fatty Acids
Overall schema for synthesis of triglycerides from glucose.
Bilirubin
TCA/Citric Acid (Krebs) Cycle
The Cell
Antioxidant function of coenzyme Q 10
Sickle cell anemia
Recent MCQs
Show more MCQs
Recent flashcard sets
Show more flashcards
Feed
Learn
Add
Search
Discuss