MEDizzy
MEDizzy
 Dr.Major Panjeta
Dr.Major Panjetaover 6 years ago
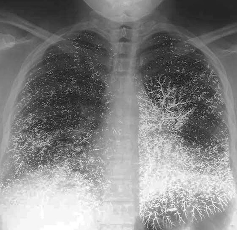
What’s this???

What’s this???

Difficulty in breathing

36
Top rated comment
over 6 years ago

Looks like a case I saw elsewhere with attempted suicide by ingestion of mercury

over 6 years ago

I think it's the same one indeed

over 6 years ago

Would there be damage to the upper airway in this case?

Other commentsSign in to post comments. You don't have an account? Sign up now!
over 6 years ago

Is it mercury poisoning?

over 6 years ago

It does look like mercury poisoning

over 6 years ago

Mercury poisoning

over 6 years ago

Mercury pulmonary empolisn

over 6 years ago

Yesss

almost 6 years ago

Mercury poisoning

Recent MCQs















Show more MCQs

Recent flashcard sets















Show more flashcards