Feed
Library
Learning
Discuss
Leaderboard
Journal
Sign in
Login
Sign up
Sign in
Feed
Library
Learning
Discuss
Leaderboard
Journal
Philip Fonseca
about 8 years ago
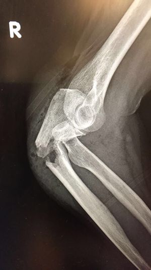
Fracture
89 year old woman sustained a fall
Orthopedic
Arm Surgery
534
0
3
Other comments
Sign in
to post comments. You don't have an account?
Sign up now!
Related posts
Risk factors of rickets
Kyphosis and Scoliosis
Beunion- Treatment
Slipped Capital Femoral Epiphysis
Case of SSI after implantation in tibia
Legg–Calvé–Perthes Disease
Scaphoid Shift Test in Scapholunate Ligament Injury
Distal Radius fractures
Failed back surgery syndrome symptoms
Artheoarthritis
Recent MCQs
Show more MCQs
Recent flashcard sets
Show more flashcards
Feed
Learn
Add
Search
Discuss