MEDizzy
MEDizzy
CD
Carlee Deesalmost 8 years ago
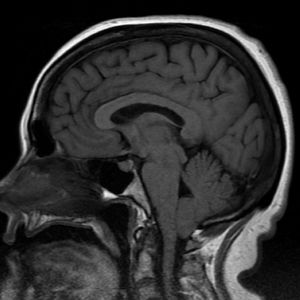
Diagnosis?

Diagnosis?

Patient (17 year old) had been complaining of occipital headaches, loss of balance, memory loss, tingling in hands and arms and fainting. They did an MRI. What's the problem?

5
Other commentsSign in to post comments. You don't have an account? Sign up now!
almost 8 years ago

Wallenberg sendrome

almost 8 years ago

Herniation?

Recent MCQs















Show more MCQs

Recent flashcard sets















Show more flashcards