Feed
Library
Learning
Discuss
Leaderboard
Journal
Sign in
Login
Sign up
Sign in
Feed
Library
Learning
Discuss
Leaderboard
Journal
Dr.rasoul
over 6 years ago
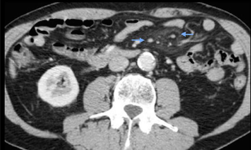
A 65 yrs man presented to the hospital with abdominal mass and pain. In the CT we have found this.
What's your dx and what are the pointed area?
Pain
Abdomen
Ct
Mass
Graphy
16
1
4
Top rated comment
San562
over 6 years ago
Mesenteric lymphadenitis?
0
Reply
Other comments
Sign in
to post comments. You don't have an account?
Sign up now!
Related posts
Pain in Abdominal Quadrants
Types of Pain
Radiation of Pain
Pain modulation
Abdominal Assessment
Acute Abdomen
Pain Assessment
Types of Pain
Trigeminal Neuralgia Vs Odontogenic Pain
Pain history
Recent MCQs
Show more MCQs
Recent flashcard sets
Show more flashcards
Feed
Learn
Add
Search
Discuss