Feed
Library
Learning
Discuss
Leaderboard
Journal
Sign in
Login
Sign up
Sign in
Feed
Library
Learning
Discuss
Leaderboard
Journal
San562
almost 2 years ago
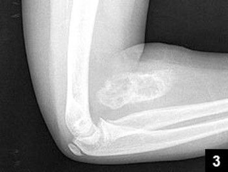
Myositis ossificans
Orthopaedics
Fracture
Complication
Supracondylar
28
0
6
Other comments
Sign in
to post comments. You don't have an account?
Sign up now!
Related posts
Fracture of maxillary tuberosity
What is Rheumatoid Arthritis? | Johns Hopkins Rheumatology
Ankylosing Spondylitis | HLA-B27, Pathophysiology, Signs & Symptoms, Diagnosis, Treatment
What is scoliosis?
Osteosarcoma - Pathology, Symptoms, Diagnosis, Treatment
Naso Orbital Ethmoid fracture
Plating of mandible fracture
Intraoral incision with percutaneous cannula
Surgical Wiring for Mandible Fracture Stabilization
External nose bones
Recent MCQs
Show more MCQs
Recent flashcard sets
Show more flashcards
Feed
Learn
Add
Search
Discuss