Feed
Library
Learning
Discuss
Leaderboard
Journal
Sign in
Login
Sign up
Sign in
Feed
Library
Learning
Discuss
Leaderboard
Journal
Nuclear Medicine
over 6 years ago
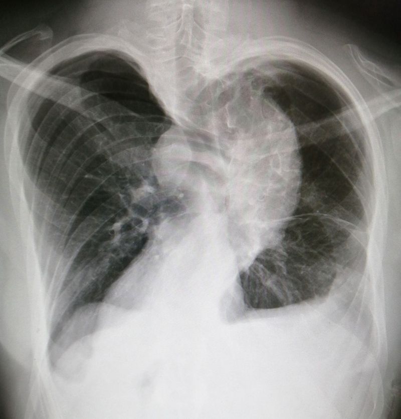
Chest AP View
Structural scoliosis. (A fixed lateral (sideways) with the curve of the spine.)
Xray
Chest
Scoliosis
2
0
0
Other comments
Sign in
to post comments. You don't have an account?
Sign up now!
Related posts
Darier Disease.
Ankle X-ray Anatomy
Lateral Ankle X-ray Anatomy
Pediatric Ankle X-ray Anatomy
Hip X-ray Anatomy
Lateral Hip X-ray Anatomy
Pelvic X-ray Anatomy
Best areas for auscultation
What is scoliosis?
Chest X-Rays
Recent MCQs
Show more MCQs
Recent flashcard sets
Show more flashcards
Feed
Learn
Add
Search
Discuss