Feed
Library
Learning
Discuss
Leaderboard
Journal
Sign in
Login
Sign up
Sign in
Feed
Library
Learning
Discuss
Leaderboard
Journal
Nuclear Medicine
almost 7 years ago
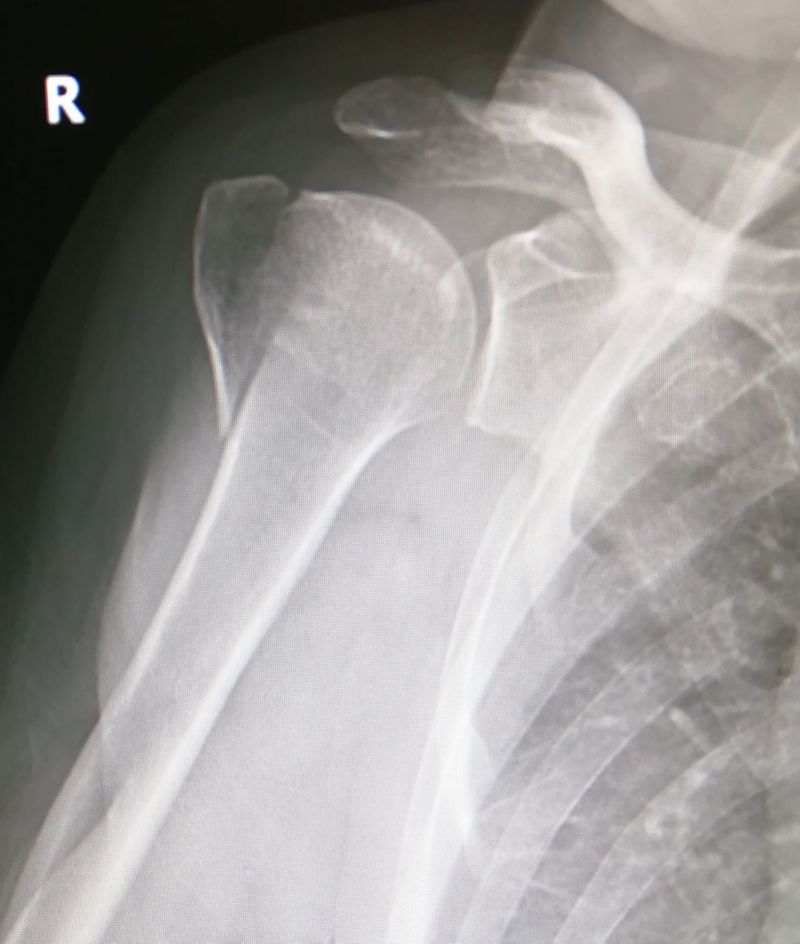
Right shoulder AP view
Fracture of the greater tuberosity.
Emergency
Xray
Fracture
Tuberculummajus
0
0
0
Other comments
Sign in
to post comments. You don't have an account?
Sign up now!
Related posts
Fracture of alveolar process
Emergency Medications
Fracture of maxillary tuberosity
Emergency Medications
Naso Orbital Ethmoid fracture
Plating of mandible fracture
Intraoral incision with percutaneous cannula
Surgical Wiring for Mandible Fracture Stabilization
Chest X-Rays
Reversible Causes for Emergent Conditions
Recent MCQs
Show more MCQs
Recent flashcard sets
Show more flashcards
Feed
Learn
Add
Search
Discuss