MEDizzy
MEDizzy
JOHN NELSON
JOHN NELSONover 7 years ago
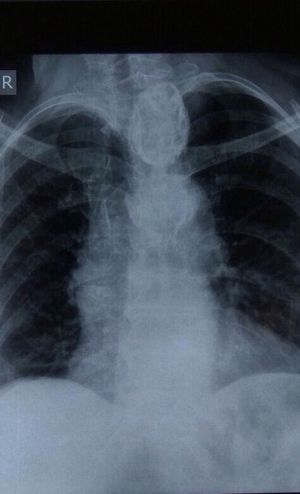
Retrosternal Thyroidism

Retrosternal Thyroidism

X ray of a female patient having mild cardiomegaly and retrosternal thyroidism

7
Top rated comment
almost 8 years ago

I had never seen such a CXR

almost 8 years ago

Ya its rare

Other commentsSign in to post comments. You don't have an account? Sign up now!

Recent MCQs















Show more MCQs

Recent flashcard sets















Show more flashcards