Feed
Library
Learning
Discuss
Leaderboard
Journal
Sign in
Login
Sign up
Sign in
Feed
Library
Learning
Discuss
Leaderboard
Journal
Dr. Ankur chauhan
about 8 years ago
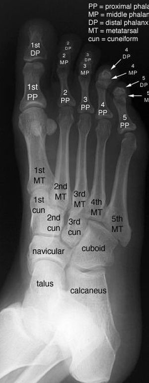
Anatomy of foot
Medicine
Anatomy
Medizzy
Radiology
Bone
show 1 more
3
0
8
Other comments
Sign in
to post comments. You don't have an account?
Sign up now!
Related posts
Auriscope
Mast cell after exposure to allergen
Mast cell after further exposure to allergen
Nasal polyp
Severe upper airway obstruction
Women’s Reproductive Health & Daily Wellness
FlexiLeaf
https://www.facebook.com/HumeHealthBodyPodOfficial/
Gelatine Sculpt | Official Website
BurnSlim Official | Support Your Weight Management Journey
Recent MCQs
Show more MCQs
Recent flashcard sets
Show more flashcards
Feed
Learn
Add
Search
Discuss