
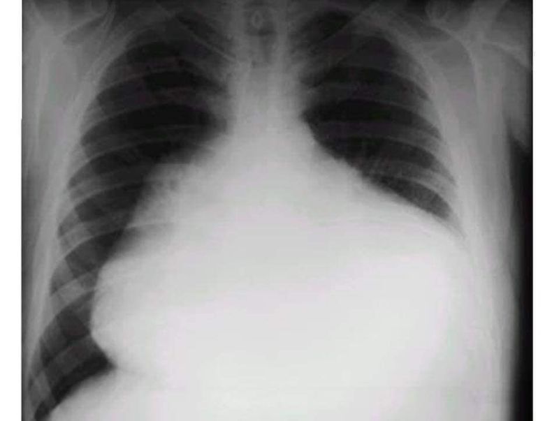
The water bottle sign or configuration refers to the shape of the cardiac silhouette on erect frontal chest x-rays in patients who have a very large pericardial effusion. Typically the effusion has accumulated over many weeks to months (e.g. in patients with malignancy) and the pericardium has gradually stretched. The fluid, often measuring a liter or more, causes the pericardium to sag, mimicking an old-fashioned water bottle sitting on the bench. This sign is seen in Pericardial effusion ("fluid around the heart") which is an abnormal accumulation of fluid in the pericardial cavity. Because of the limited amount of space in the pericardial cavity, fluid accumulation leads to an increased intrapericardial pressure which can negatively affect heart function.