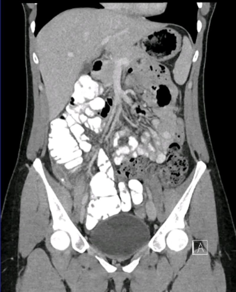
Identify the abnormalities
Can you give a brief history of the patient? Thank you
Distended small bowel, potential volvulus