Feed
Library
Learning
Discuss
Leaderboard
Journal
Sign in
Login
Sign up
Sign in
Feed
Library
Learning
Discuss
Leaderboard
Journal
Dr.hz
over 6 years ago
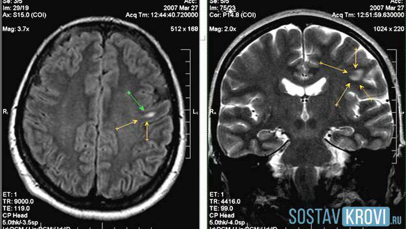
What happened to the patient?
Brain
Humanbody
Humanbrain
12
5
5
Top rated comment
Ries
over 6 years ago
Brain hemorrhage?
2
Reply
Other comments
Sign in
to post comments. You don't have an account?
Sign up now!
Zahraa Salih
over 6 years ago
Any medical history?
0
Reply
Naqshband Kuzabi
over 6 years ago
Hemorrhage in cortex
0
Reply
May
over 6 years ago
Hemorrhage
0
Reply
Naqshband Kuzabi
over 6 years ago
Barin hemorrahg
0
Reply
Related posts
Residential Pest control in lockhart
Brain waves
Best Probiotics for Women Over 50: A Critical Discussion
Medulla Oblongata Anatomy
A New Organ has been Discovered
Brain Blood Supply
Recent MCQs
Show more MCQs
Recent flashcard sets
Show more flashcards
Feed
Learn
Add
Search
Discuss