MEDizzy
MEDizzy
Dr-pavan kr reddy
Dr-pavan kr reddy6 months ago
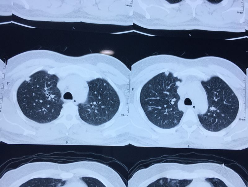
PROSTATE CANCER- METASTASIS (CT LUNG)

PROSTATE CANCER- METASTASIS (CT LUNG)

CT lung shows small dots.. that indicates the Metastatic (stage4). USG KUB shows that enlarged prostate. FNAC clarified that the individual is suffering from Prostate cancer.

546
Other commentsSign in to post comments. You don't have an account? Sign up now!

Recent MCQs















Show more MCQs

Recent flashcard sets















Show more flashcards