MEDizzy
MEDizzy
Ibrahim Alkutawe
Ibrahim Alkutaweover 6 years ago
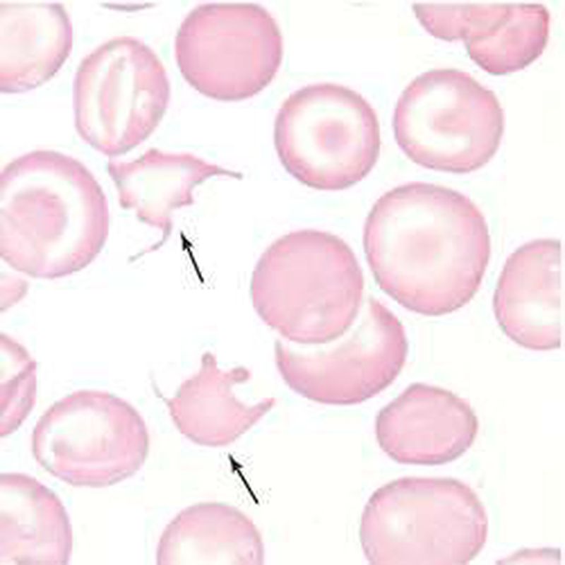
Diagnosis this cell? This is blood film . But the cell is present in the hematuria too. When do stain for urine ?

Diagnosis this cell? This is blood film . But the cell is present in the hematuria too. When do stain for urine ?

Present? State?disaease?

551
Other commentsSign in to post comments. You don't have an account? Sign up now!
over 6 years ago

Acanthocyte cell(dysmorphic RBC)

over 6 years ago

Schistocytes

over 6 years ago

False

over 6 years ago

Spur cell

over 6 years ago

Smudge cell??

over 6 years ago

Schistocytes ......

over 6 years ago

These RBC cell

over 6 years ago

True answer is acanthocyte cell(dysmorphic RBC)

Recent MCQs















Show more MCQs

Recent flashcard sets















Show more flashcards