
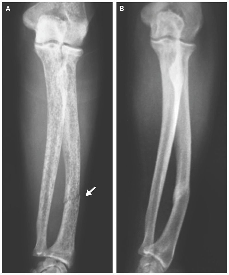
A 45-year-old man presented to the orthopedic clinic with pain in his left forearm that he had first felt while gripping a railing 1 day earlier. A plain radiograph of the left arm showed a diaphyseal radial fracture (Panel A, arrow) and a diffusely low-density, mottled appearance of the radius and ulna. Two months before presentation, the patient had received a diagnosis of primary hyperparathyroidism, with an intact parathyroid hormone level of 3590 pg per milliliter (reference range, 10 to 65) and a serum calcium level of 13.0 mg per deciliter (3.25 mmol per liter; reference range, 8.5 to 10.2 mg per deciliter [2.12 to 2.55 mmol per liter]). He underwent parathyroidectomy and was found to have parathyroid carcinoma, which is a rare cause of primary hyperparathyroidism and can manifest as markedly elevated parathyroid hormone levels. Evaluation at the time of diagnosis showed no evidence of metastatic disease. The patient’s forearm was placed in a splint for 6 weeks, and he received vitamin D and calcium supplementation. A plain radiograph obtained 1 year after the diagnosis of the fracture showed union of the radial fracture and normal-appearing bone density (Panel B). One year after the parathyroidectomy, the patient’s parathyroid hormone level was 48 pg per milliliter and his calcium level was 9.0 mg per deciliter (2.25 mmol per liter).