MEDizzy
MEDizzy
Sobana D
Sobana D almost 8 years ago
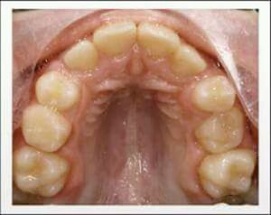
Spot this and what is d/d ?

Spot this and what is d/d ?

2
Top rated comment
almost 8 years ago

Yes right, also in treacher collin's syndrome, apert syndrome like that

Other commentsSign in to post comments. You don't have an account? Sign up now!
almost 8 years ago

High arched palate right??

almost 8 years ago

Right 😊😊

almost 8 years ago

DD- Marfan's syndrome... Down's syndrome... Adenoid hyperplasia

almost 8 years ago

Impacted premolar

almost 8 years ago

It is a picture of high arched palate

Related posts
No related posts found

Recent MCQs

‌
‌

‌
‌

‌
‌

‌
‌

‌
‌
Show more MCQs

Recent flashcard sets

‌
‌

‌
‌

‌
‌

‌
‌

‌
‌
Show more flashcards