Feed
Library
Learning
Discuss
Leaderboard
Journal
Sign in
Login
Sign up
Sign in
Feed
Library
Learning
Discuss
Leaderboard
Journal
Mafuzzie Vee Nthinya
over 6 years ago
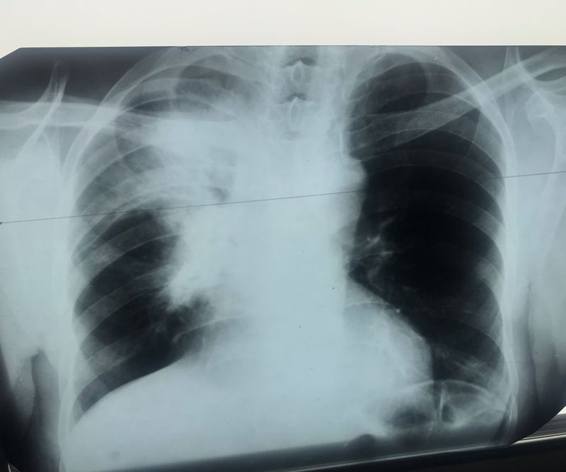
X- ray description
Please help with the diagnosis doctors
Medical
Doctor
Radiology
Xray
547
0
0
Other comments
Sign in
to post comments. You don't have an account?
Sign up now!
Related posts
Antidiabetic Drugs IV
Symptoms of appendicitis
Medical Symptoms I
Preparation for USMLE
Cellulitis, gangrene
Chest X-Rays
Scope of practice of NREMT
Suturing
Acne
Recent MCQs
Show more MCQs
Recent flashcard sets
Show more flashcards
Feed
Learn
Add
Search
Discuss