
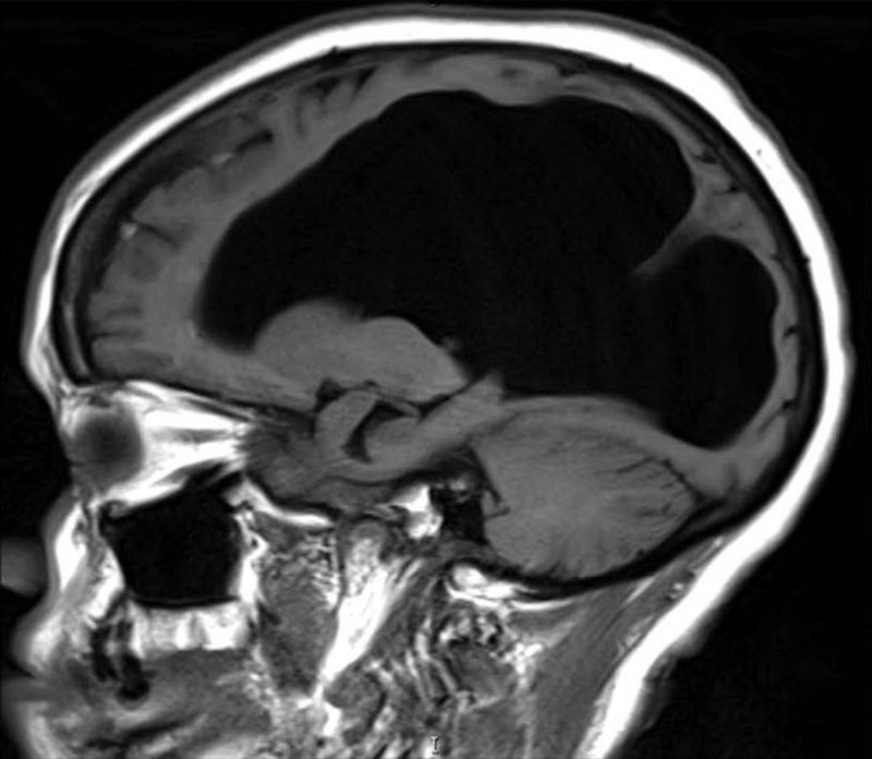
A 62-year-old woman was found unresponsive and the following MRI scan was obtained. No previous images are available for comparison. Which cause for the image abnormality is unlikely? A) Cerebral aqueduct stenosis B) Meningitis C) Alzheimer's disease D) Traumatic brain injury
Cerebral aqueduct stenosis is uncommn at that age....may be menigitis ,which cause exudates ,,which would have blocked the aqueductbcausing dilatation of ventricles
Living with Alzheimer’s disease was one of the hardest experiences of my life. The memory loss, the confusion, and the fear of losing myself weighed on me every single day. I had tried so many treatments and medications, but nothing seemed to stop the disease from progressing.Out of both hope and desperation, I came across NaturePath Herbal Clinic. At first, I was skeptical, but something about their natural approach and the stories I read gave me the courage to try one more time.I began their herbal treatment program, and within a few weeks, I noticed small changes clearer thinking, better focus, and a calmer mind. Over the months, those improvements became more and more obvious. Today, I can truly say my life has changed. My memory has improved, and I feel more present and engaged than I have in years.This isn’t just a testimony it’s a heartfelt recommendation to anyone struggling with Alzheimer’s or other chronic conditions. Don’t give up hope. I’m so grateful I gave NaturePath Herbal Clinic a chance. Visit their website to learn more: www.naturepathherbalclinic.com info@naturepathherbalclinic.com