Feed
Library
Learning
Discuss
Leaderboard
Journal
Sign in
Login
Sign up
Sign in
Feed
Library
Learning
Discuss
Leaderboard
Journal
D
Dr. Uranus Barekzai
almost 7 years ago
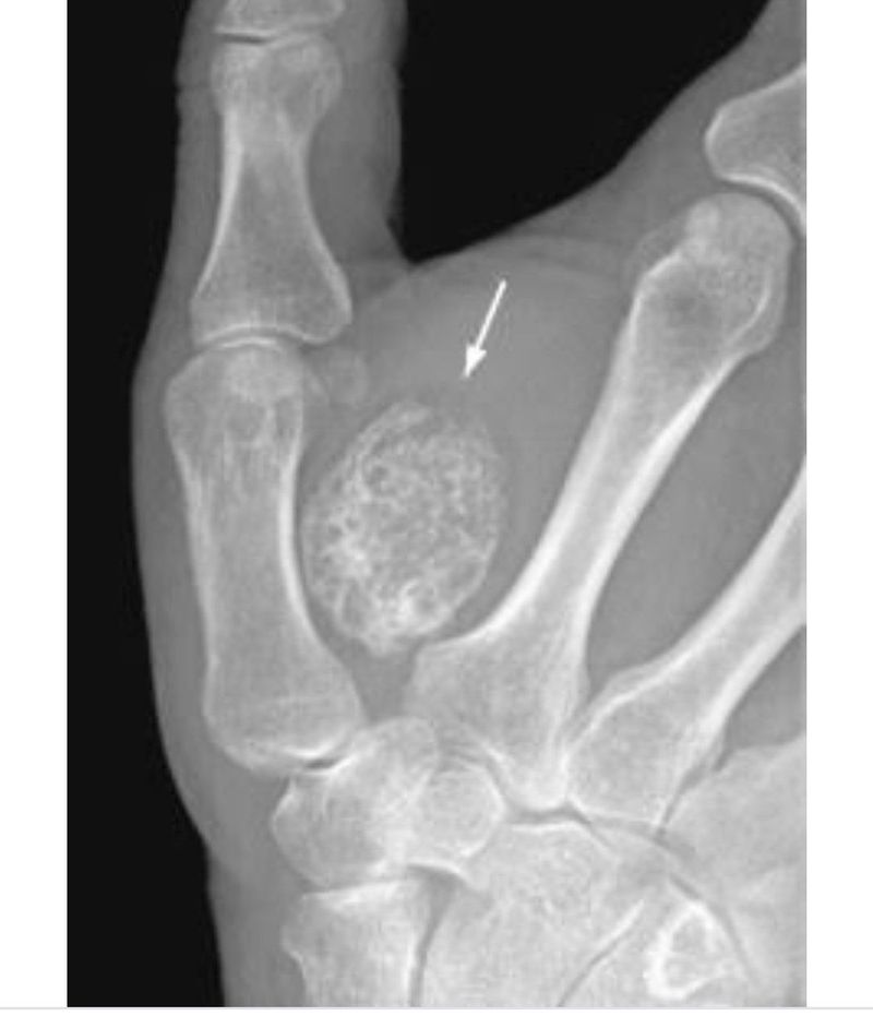
Myositis ossificans
Surgery
Medical
Trauma
Bone
Muscles
show 1 more
7
0
1
Other comments
Sign in
to post comments. You don't have an account?
Sign up now!
Related posts
Hyperparathyroidism
Paget’s disease of bone
Traumatic ulcer
Neck Muscles
Surgical process for apicoectomy
Surgical process for apicoectomy
Surgical process for apicoectomy
Condylectomy
Tmj ankylosis grading
Condylectomy
Recent MCQs
Show more MCQs
Recent flashcard sets
Show more flashcards
Feed
Learn
Add
Search
Discuss