Feed
Library
Learning
Discuss
Leaderboard
Journal
Sign in
Login
Sign up
Sign in
Feed
Library
Learning
Discuss
Leaderboard
Journal
Bhushan Suryawanshi
over 6 years ago
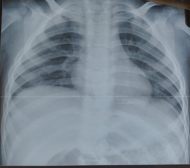
Comment on X-ray
Radiology
Pediatrics
Findings
6
0
1
Other comments
Sign in
to post comments. You don't have an account?
Sign up now!
Related posts
Pediatrics Dosage- Antibiotics
Pediatrics Dosage- Analgesics
Pediatrics Dosage- Allergy
Pediatrics Dosage- Others
Invitation for Pediatrics Conference
Basic Brainstem Radiology
Spine Radiology I
Spine Radiology II
The major determinants of cardiac function include all the following EXCEPT a. Heart rate b. Left end diastolic volume c. Cardiac contractility d. Afterload E. Stroke volume
Pigg-O-Stat
Recent MCQs
Show more MCQs
Recent flashcard sets
Show more flashcards
Feed
Learn
Add
Search
Discuss