Feed
Library
Learning
Discuss
Leaderboard
Journal
Sign in
Login
Sign up
Sign in
Feed
Library
Learning
Discuss
Leaderboard
Journal
Aya Alzain
almost 8 years ago
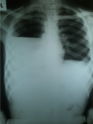
Massive plural effusion
Rt plura mainly
4
2
1
Top rated comment
Ichwan
almost 8 years ago
Its hidropneumothorax?
0
Reply
Aya Alzain
almost 8 years ago
yea
0
Other comments
Sign in
to post comments. You don't have an account?
Sign up now!
Related posts
No related posts found
Recent MCQs
Show more MCQs
Recent flashcard sets
Show more flashcards
Feed
Learn
Add
Search
Discuss